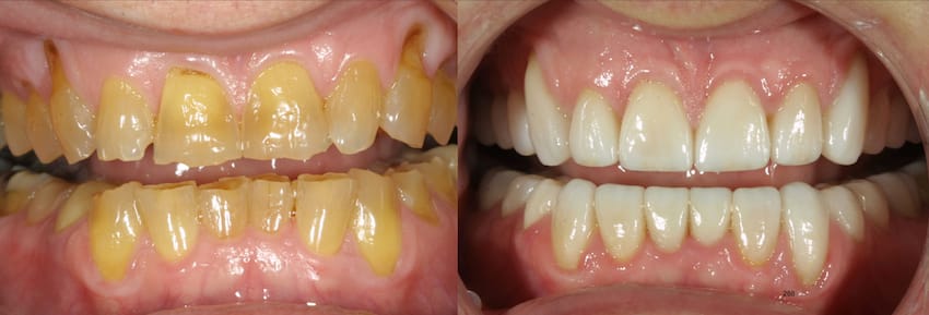
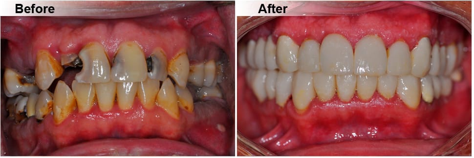
Esileht Fotod FOTOD: Vaata, mida tänapäva hambaarstid suudavad teha

FOTOD: Vaata, mida tänapäva hambaarstid suudavad teha

 

hammas6 hammas9hammas8hammas7hammas5 hamms9

NB! Mõned fotod on päris šokeerivad ning vaatamine omal vastutusel!